近日,北京协和医院胸外科运用支气管镜机器人成功开展系列肺部小结节“活检+消融”一站式诊断治疗。支气管镜机器人凭借精准、微创的核心优势,在早期肺癌活检诊断与消融治疗领域开创了一片崭新天地,为肺部疾病患者,特别是高龄、高危患者的诊疗提供了新选择。
81岁的张大爷是这项新技术的直接受益者。张大爷2024年体检查出右肺上叶存在一个8毫米结节,外院考虑到其高龄且合并心律失常等多种慢性基础病,建议暂时随诊观察。今年复查时,小结节增大至10毫米,且密度变实,早期肺癌的可能性大。这一结果让张大爷和家人忧心不已,为寻求更安全有效的治疗方案,他们来到北京协和医院胸外科。
“手术切除是早期肺癌的首选治疗方式,但手术对患者的心肺功能、身体基础条件要求较高。”徐源主治医师介绍,张大爷的结节位于右上肺前后段之间,且位置较深,若采用传统手术,需切除较多正常肺组织,不仅创伤大,还可能因基础病影响术后恢复,严重降低生活质量。其他治疗方式也存在精准度不足、损伤周围组织等问题。家属最终选择了创伤小、精度高的支气管镜机器人手术方案。
手术方案确定后,麻醉科手术室、心内科专家第一时间对张大爷的身体状况进行全面评估,排除手术禁忌,制定个性化围术期管理方案。
手术当天,在胸外科团队的精准操作下,Ion支气管镜机器人凭借灵活稳定的操作臂和高清成像系统,经呼吸道进入肺外周支气管,抵达病变结节部位。手术团队先完成组织活检,再一步到位地实施消融治疗。与经皮穿刺手术相比,支气管镜机器人在气管中顺利“通行”,可针对多个结节进行活检和治疗,降低了气胸等并发症的发生率,减少了治疗过程中的创伤和不适。

▲术中精准的影像定位
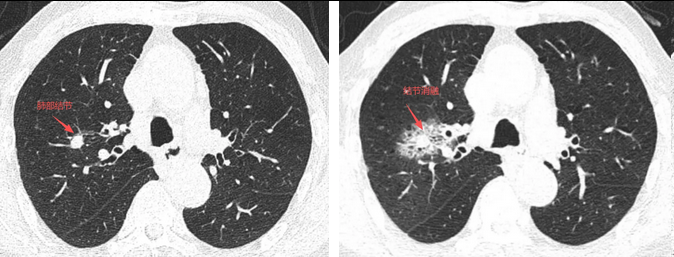
▲患者术前CT(左侧),箭头处为肺结节;术后CT(右侧),结节消融后的改变
“感觉就像睡了一觉”,术后一天,张大爷就顺利出院。
北京协和医院胸外科自2019年起探索建立经呼吸道早期肺癌诊治体系,2020年起承担国家重点研发计划“面向肺部微小结节的支气管介入诊断机器人技术与系统研制”项目。科室始终以临床需求和患者利益为导向,持续推动诊疗技术创新。
胸外科主任李单青介绍,科室近年来已成功开展电磁导航支气管镜、支气管镜机器人肺结节活检及消融手术,通过局部消融治疗、精准肺段切除、新辅助治疗后根治性手术等“组合拳”,为不同疾病阶段、不同身体状况、多原发病灶的肺癌患者提供个体化诊疗方案,实现了从超早期、早期肺癌到局部晚期、晚期肺癌的诊疗全覆盖。郭超副主任表示,未来将继续深耕技术迭代与临床研究,不断提升诊疗精准度与安全性。

文字/张家齐 干玎竹
图片/孙良
编辑/干玎竹 陈恔